General Properties of Viruses
Viruses are the smallest unicellular organisms that are obligate intracellular. They differ from bacteria and other prokaryotes, as:
Table of Contents
- They are obligate intracellular
- They possess either DNA or RNA, but never both.
- Filterable: They are smaller than bacteria, can be passed through the bacterial filters.
- They cannot be grown on artificial cell-free media (However, grow in animals, eggs or tissue culture).
- They multiply by a complex method, but not by binary fission as seen in bacteria.
- Viruses do not have a proper cellular organization.
- They do not have cell wall or cell membrane or cellular organelles including ribosomes.
- They lack the enzymes necessary for protein and nucleic acid synthesis.
- They are not susceptible to antibacterial antibiotics.
Read And Learn More: Micro Biology And Immunology Notes
Classification And Morphology Of Viruses




Size of Viruses
- Size of the viruses is determined by
- Ultrafiltration: Passage through membrane filters membrane of graded porosity
- Ultracentrifugation
- Electron microscopy
- Largest virus: Pox virus (300 nm)
- Smallest virus: Parvovirus (20 nm)
Shape of Viruses
Most of the viruses are roughly spherical except:

Viral Structure
Viruses consist of nucleocapsid (nucleic acid and capsid), which is further surrounded by envelope (in some viruses). Capsid is a protein layer; is made up capsomer units.
Nucleic Acid: Viruses possess either DNA or RNA, but never both
- Genomic size:
- Largest is retroviruses (7–11.5 kbp),
- Smallest Hepatitis D (1.7 kb) followed by Hepatitis B (3.2 kbp)

- All the DNA viruses are double-stranded, except Parvoviruses (the only SS DNA virus)
- All the RNA viruses have one copy of single-stranded unsegmented RNA except:
- Reo viruses (the only double-stranded RNA virus)
- Retroviruses including HIV (possess 2 copies of SS RNA)
- Segmented RNA Viruses (code-BIRA)
- Bunya virus (3 segments)
- Influenza virus (8 segments),
- Rotavirus (11 segments),
- Arenavirus (2 segments) e.g. LCM i.e. lymphocytic choriomeningitis virus
- Most RNA viruses possess positive sense RNA except Myxoviruses, Rabies, Filoviruses, Bunyaviruses, and Arenaviruses (bear negative sense SS RNA).
Symmetry
Icosahedron symmetry: E.g. All DNA viruses (except Pox) and most of the RNA viruses
- Helical symmetry: Few RNA viruses (Myxo, Rhabdo, Filoviridae, Bunya) (MRF-Bat)
- Pox: Complex symmetry.
Envelope
Certain viruses possess an envelope surrounding the nucleocapsid. Envelope is lipoprotein in nature.
- Made up lipoprotein subunits called peplomere
- Lipid part is host cell membrane-derived and protein part is virus-derived,
- Envelop provides chemical, physical and biological properties to cell.
- Enveloped Viruses are ether sensitive, heat labile, pleomorphic.
- Example – All, other than nonenveloped viruses are enveloped virus (See below).
Nonenveloped Virus
- Ether-resistant, heat stable and nonpleomorphic
- DNA: Parvovirus, Adenovirus, Papovavirus (PAP)
- RNA: Picorna, Astrovirus, Reovirus, Calicivirus, and Hepatitis A and E.
Viral Replication
Viruses do not undergo binary fission (seen in bacteria), but undergo a complex way of cell division. Replication of viruses passes through seven sequential steps:
- Adsorption/attachment is the first and the most specific step of viral replication. It involves receptor interactions between virus and host.
- Penetration: After attachment, the virus particles penetrate into the host cells either by
- Phagocytosis (or viropexis): Through receptor-mediated endocytosis
- Membrane fusion: Seen in HIV
- Injection of nucleic acid: Seen in bacteriophages
- Uncoating: Capsid is lysed (due to host lysozymes) and the nucleic acid is released. This step is absent for bacteriophages.
- Biosynthesis of various viral components: 1) nucleic acid, 2) capsid protein, 3) enzymes,4) other regulatory proteins
- Assembly: Viral nucleic acid and proteins are packaged together to form progeny viruses (nucleocapsids).
DNA viruses are assembled in the nucleus except hepadnaviruses and poxviruses (in cytoplasm) RNA viruses are assembled in the cytoplasm. - Maturation: Take place either in the nucleus or cytoplasm or membranes
- Release of daughter virions occur either by:
- Lysis of the host cells as shown by nonenveloped viruses and bacteriophages.
- Budding through host cell membrane as shown by enveloped viruses.
Eclipse phase: It is the interval between entry of the virus into host cell till appearance of first infectious virus particle.
During this period, the virus cannot be demonstrated inside the host cell.
-
- The duration of eclipse phase is about 15 to 30 minutes for bacteriophages and 15-30 hours for most of the animal viruses.
Viral Cultivation
Viruses cannot be grown on artificial cell free media (However, grow in animals, eggs or tissue culture)
Animal Inoculation
Suckling Mice is used for cultivation of certain viruses such as Coxsackie and arboviruses.
- Coxsackie A—produces flaccid paralysis in mice
- Coxsackie B—produces spastic paralysis in mice
Embryonated Egg Inoculation
Embryonated egg has four sites for cultivation of virus
- Chorioallantoic membrane (CAM): Few viruses produce lesions called pocks, e.g. Vaccinia,Variola, HSV 1 and 2
- Yolk sac: Arboviruses (e.g. JEV, Saint Louis and West Nile virus), Rickettsia, Chlamydia and Haemophilus ducreyi.
- Amniotic membrane: Influenza culture (for diagnosis)
- Allantoic cavity: Used for vaccine preparation for Influenza, Yellow fever (17D), Rabies (Flury).

Tissue Culture
- Organ culture: Whole organ is used, tracheal ring used for coronaviruses
- Explant culture: Minced organ is used, e.g. adenoid explant used for Adenovirus
- Cell Line: Tissues are completely digested and the individual cells are mixed with viral growth medium and dispensed in tissue culture flask.




Detection of Viral Growth in Cell line
- Cytopathic effect (CPE)
- It is defined as the morphological change produced by the virus in the cell line detected by light microscope.
- Viral Interference: The growth of a non-CPE virus in cell culture can be detected by the subsequent challenge to the cell line with a known CPE virus.
The growth of the first virus inhibit infection by the second virus.
For example, rubella is a non-CPE virus but prevents the replication of enteroviruses which are known to produce CPE. - To detect viral antigens in infected cell line- 1) Direct IF assay, 2) Immunoperoxidase staining, 3) Hemadsorption.
- Electron microscopy: To detect viral particles in infected cell lines
- Viral genes detection: By using PCR or nucleic acid probes.

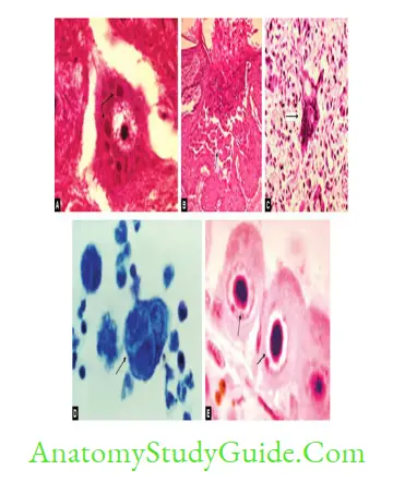
Inclusion body
They are the aggregates of virions or viral proteins and other products of viral replication by which they can be demonstrated in virus-infected cells under the light microscope.


Assay of Infectivity of Viruses
Physical Methods: These methods estimate the total virus count (or viral antigen or gene count) and cannot distinguish between infectious and noninfectious virus particles.
- Real-time PCR
- Antigen detection assay
- Electron microscopy
- Biological Methods: Detect the infectious virions. Example include:
- Qualitative assay (end point biological assays)
- Quantitative assays (plaque assay and pock assay)
- Persistent Viral Infection
Some viruses undergo a period of latency, which may be of various types: - Latent infection with periodic exacerbations: Seen with Herpesviridiae family
- Cell Transformation: Oncogenic viruses
- Latency seen in HIV infection: Viral genome integrates with host cell chromosome and leads to clinical latency
- Latency seen in slow virus infection: They have unsual long incubation period (years)
- Persistent tolerant infection: The classical example is lymphocytic choriomeningitis virus infecting mice.
Here, the host is immunologically tolerant to the virus, doesnot show any immune response, but the virus is readily demonstrable in the tissues.
Transplacental Transfer of Viruses
- Teratogenic Virus (viruses causing fetal malformation): CMV, Rubella, Herpes, Varicella and Parvovirus B19
- Viruses Transfer through placenta but does not cause fetal malformation: Hepatitis B and C,
HIV, Coxsackie B, Measles and Mumps.
Interferons
Interferons (IFNs) are the cytokines, produced by host cells on induction by viral or nonviral inducers.
- Classification: Interferons are classified into three groups, designated as IFN-α, β, and γ.
- Mechanism of action: IFN has no direct action on viruses and it does not protect the virus-infected cell that produces it.
However, it induces the other host cells to produce certain proteins called translation inhibition proteins (TIPs), that inhibit viral protein synthesis by selectively inhibiting the translation of viral mRNA, without affecting cellular mRNA. - IFNs are host-specific but not virus-specific
- Inducers: Both viral and nonviral agents can induce IFN synthesis. In general, RNA viruses and avirulent viruses are strong inducers. Examples of potent inducers are:
- Viruses: Togaviruses, vesicular stomatitis virus, Sendai virus, and NDV (New Castle Disease virus)
- Nucleic acids (double-standard RNA)
- Synthetic polymers (e.g. Poly I: C)
- Bacterial endotoxin
- IFN induction is much quicker than the antibody response: IFN synthesis begins within about an hour of induction and reaches high levels in 6–12 hours
- Resistance: IFNs are proteins, hence inactivated by proteases, but not by nucleases or lipases.
They are heat stable and also stable to wide ranges of pH (except IFN-γ). - Interferon assay: is based on their biological activity. Being poorly antigenic, they cannot be detected serologically.



Leave a Reply